Godziny przyjęć

poniedziałek 10.00 – 20.00
wtorek 8.00 – 18.00
środa 8.00 – 15.00
czwartek 9.00 – 20.00
pt, sb, nd nieczynne

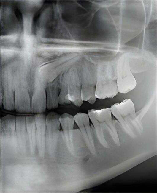
Tomografia komputerowa, Pantomogram, RTG zębów

OPIS USŁUGI

Diagnostyka obrazowa – precyzja, która ratuje zęby

Tomografia 3D, pantomogram i RTG w jednym miejscu – szybka i dokładna diagnoza bez wychodzenia z gabinetu

Skuteczne leczenie stomatologiczne rozpoczyna się od precyzyjnej diagnozy. W Gabinetach Stomatologicznych Edent dysponujemy pełnym zestawem nowoczesnej diagnostyki obrazowej – od klasycznych zdjęć RTG, przez panoramiczne zdjęcia pantomograficzne, aż po zaawansowaną tomografię komputerową 3D.

Dzięki najnowocześniejszemu tomografowi ACTEON X-MIND możemy zobaczyć struktury kostne, zatoki szczękowe, nerwy i korzenie zębów w trójwymiarze. To kluczowe przy planowaniu implantów, leczeniu kanałowym w trudnych przypadkach czy diagnostyce zmian patologicznych. Cyfrowa radiowizjografia Planmeca i Sirona redukuje dawkę promieniowania nawet o 90% w porównaniu z tradycyjnymi metodami, a wynik jest widoczny na ekranie w zaledwie 2 sekundy.

Co więcej – wszystkie badania wykonujemy na miejscu. Oznacza to szybki dostęp do wyników, brak konieczności dodatkowych wizyt w innych placówkach i możliwość natychmiastowego omówienia diagnozy z lekarzem.

CO ROBIMY?

Zakres badań

RTG zębów (radiowizjografia cyfrowa)

Klasyczne, precyzyjne zdjęcia pojedynczych zębów wykonywane aparatami Planmeca & Sirona. Niezbędne do diagnostyki próchnicy, oceny stanu korzeni i kontroli po leczeniu kanałowym. Redukcja dawki promieniowania do 90%, wynik widoczny na monitorze w 2 sekundy

Pantomogram (zdjęcie panoramiczne)

Obraz wszystkich zębów, kości szczęki i żuchwy na jednym zdjęciu. Pozwala ocenić stan całego uzębienia, wykryć ukryte ogniska zapalne, ósemki zatrzymane czy zmiany w kościach. Niezbędne przed leczeniem ortodontycznym, chirurgią czy planowaniem implantów.

Tomografia komputerowa 3D (CBCT)

Trójwymiarowy obraz struktur jamy ustnej wykonywany tomografem ACTEON X-MIND. Najdokładniejsza metoda diagnostyki – umożliwia precyzyjne planowanie implantów, ocenę trudnych kanałów korzeniowych, diagnostykę zmian w kościach i zatokach szczękowych. Badanie trwa kilkanaście sekund i jest całkowicie bezbolesne.

Dlaczego u nas?
Badania na miejscu

Wszystkie rodzaje zdjęć rentgenowskich wykonujemy w naszym gabinecie – bez kolejek, bez skierowań do innych placówek. Wyniki od ręki, diagnoza i plan leczenia od razu.

Bezpieczeństwo przede wszystkim

Cyfrowa technologia oznacza minimalne promieniowanie – nawet 90% mniej niż w przypadku tradycyjnych zdjęć RTG. Badanie tomograficzne trwa zaledwie kilkanaście sekund.

Precyzja 3D

Tomografia komputerowa ACTEON X-MIND pozwala nam zobaczyć szczegóły niemożliwe do uchwycenia na klasycznych zdjęciach – nerwy, zatoki, strukturę kości. Dzięki temu planowanie implantów i trudnych zabiegów jest maksymalnie precyzyjne.

Natychmiastowe wyniki

Nie czekają Państwo dni na wyniki – zdjęcia są gotowe w kilka sekund i od razu omawiane z lekarzem. Na życzenie nagrywamy je na nośnik USB lub wysyłamy e-mailem.

Badania RTG (radiowizjografia cyfrowa):
Zdjęcie rentgenowskie zębów, pokazujące stan jamy ustnej, wykorzystywane w gabinecie stomatologicznym do diagnostyki. Warto skonsultować się z dentystą w celu oceny zdrowia zębów.

Zdjęcia punktowe (intraoralne): RTG pojedynczego zęba, RTG dwóch sąsiednich zębów, RTG w technice skrzydełkowej (bite-wing) do oceny próchnicy międzyzębowej, RTG przywierzchołkowe do oceny stanu korzeni i tkanek okołowierzchołkowych

Zdjęcia okluzyjne: RTG żuchwy w projekcji okluzyjnej, RTG szczęki w projekcji okluzyjnej

Kontrola leczenia: RTG kontrolne po leczeniu kanałowym, RTG kontrolne w trakcie leczenia kanałowego (pomiar długości kanału), RTG kontrolne po ekstrakcji zęba

Badania pantomograficzne (OPG):
Zdjęcie przedstawia stomatologa wskazującego na zdjęcie rentgenowskie zębów na tablecie w gabinecie stomatologicznym.

Zdjęcia panoramiczne standardowe: Pantomogram całego uzębienia (szczęka + żuchwa), pantomogram dzieci i młodzieży (mniejsze pole), pantomogram seniorów (ocena resztkowego uzębienia)

Pantomogram diagnostyczny przed: leczeniem ortodontycznym, ekstrakcją ósemek (zębów mądrości), planowaniem implantów, leczeniem periodontologicznym, protezowaniem

Tomografia komputerowa 3D (CBCT):
Nowoczesny gabinet stomatologiczny z obrazem 3D szczęki na tablecie, wykorzystywany przez stomatologa do analizy stanu zębów pacjenta.

Tomografia szczęki: szczęka w całości (planowanie wielu implantów), sektor przedni szczęki (od kła do kła), sektor boczny szczęki (jeden bok), tomografia zatoki szczękowej (ocena przed sinus-liftem)

Tomografia żuchwy: żuchwa w całości, sektor przedni żuchwy, sektor boczny żuchwy, ocena kanału nerwu żuchwowego

Tomografia specjalistyczna: oba stawy skroniowo-żuchwowe (TMJ), tomografia przed ekstrakcją zęba zatrzymanego, tomografia w endodoncji (ocena skomplikowanych kanałów), tomografia w periodontologii (ocena ubytków kostnych)

Tomografia zatokowe: zatoka szczękowa prawa, zatoka szczękowa lewa, obie zatoki szczękowe, tomografia przed operacją zatokową

Najczęstsze pytania

Czy tomografia komputerowa jest bezpieczna?

Tak. Dawka promieniowania jest bardzo niska, porównywalna z naturalnym promieniowaniem tła podczas kilkugodzinnego lotu samolotem. Badanie trwa zaledwie 10-20 sekund.

Nie. Badania wykonujemy na miejscu podczas wizyty, bez konieczności posiadania skierowania od lekarza.

Cena zależy od zakresu badania (cała szczęka, jeden sektor, stawy). Dokładne informacje udzielimy telefonicznie lub podczas wizyty.

Tak, na życzenie nagrywamy zdjęcia na USB lub wysyłamy je e-mailem w formacie DICOM (kompatybilnym z większością programów medycznych).

Do precyzyjnego planowania implantów, oceny trudnych kanałów korzeniowych, diagnostyki zmian w kościach i zatokach, przed zabiegami chirurgicznymi, w ortodoncji oraz diagnostyce stawów skroniowo-żuchwowych.

Nie. Wszystkie badania obrazowe (RTG, pantomogram, tomografia) są całkowicie bezinwazyjne i bezbolesne. Pacjent jedynie ustawia się w odpowiedniej pozycji.

Samo skanowanie trwa 10-20 sekund. Całość wizyty (ustawienie, badanie, omówienie wyników) to około 15-20 minut.

Tomografii komputerowej (CBCT) nie wykonuje się u kobiet w ciąży, szczególnie w I trymestrze. W nagłych przypadkach decyzję podejmuje lekarz.

Tak, ale tylko gdy jest to medycznie uzasadnione (np. przed zabiegiem chirurgicznym, w diagnostyce zmian patologicznych). Minimalizujemy dawkę promieniowania.

Pantomogram to zdjęcie 2D (płaskie), tomografia to obraz 3D (przestrzenny). Pantomogram wystarcza do ogólnej oceny uzębienia, tomografia do precyzyjnego planowania implantów i trudnych zabiegów.

Tak, badanie nie wymaga żadnych ograniczeń ani przygotowania.

Tak, należy zdjąć kolczyki, łańcuszki, spinki do włosów i inne metalowe przedmioty z obszaru głowy i szyi – mogą dawać artefakty na zdjęciu.

Tomografia CBCT (stomatologiczna) nie stanowi przeciwwskazania dla osób z rozrusznikiem. To bezpieczne badanie, w przeciwieństwie do rezonansu magnetycznego (MRI).

Nie ma sztywnych limitów, ale przestrzegamy zasady ALARA (As Low As Reasonably Achievable) – najniższa uzasadniona dawka. Zdjęcia wykonujemy tylko gdy są medycznie konieczne.

Tak, każde badanie jest opisywane przez lekarza stomatologa. Opis otrzymują Państwo w dokumentacji lub na życzenie w formie wydruku.